最近网上可是炸开了锅,香城派对爆料视频的最新版成了大家茶余饭后的热门话题。这不,我特意搜集了各种信息,给你来个全方位的揭秘,让你...
亲爱的读者们,是不是已经迫不及待地想要知道这个寒假有哪些新鲜事儿了呢?那就跟着我一起,揭开“创造与魔法”最新寒假爆料的神秘面纱吧...
你知道吗?最近网络上可是炸开了锅,关于新S的最新爆料层出不穷,简直让人眼花缭乱!今天,我就来给你一探究竟,揭开这些神秘面纱,让你...
最近娱乐圈可是热闹非凡呢!谭松韵和吴亦凡这对曾经的“甜蜜情侣”最近又成为了大家热议的焦点。这不,又有最新爆料出来了,咱们一起来聊...
你知道吗?最近德化地区发生了一件超级劲爆的事情,简直让人瞠目结舌!这不,我刚刚从德化新闻爆料网站上挖到了第一手资料,迫不及待地想...
你知道吗?最近网上可是炸开了锅,都在热议《王者荣耀》的新皮肤爆料,而且还是特别应景的过年系列!这不,我就迫不及待地来给你揭秘一下...
最近在朋友圈里可是炸开了锅,大家都被洛阳植物园的一则爆料视频给吸引了眼球。这不,我就迫不及待地来给你揭秘这个神秘的视频,让你一睹...
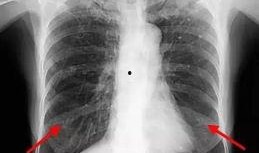
最近在网上看到一个超级劲爆的消息,就是2023年的胸片爆料最新版大揭秘!这可是医学界的一大喜事,咱们得好好聊聊这个话题。你有没有...
最近娱乐圈可是炸开了锅,宋佳伦的最新爆料成了大家茶余饭后的热门话题。这位曾经的“国民初恋”如今又有什么新鲜事儿呢?让我们一起揭开...
最近王者荣耀的玩家们可是炸开了锅,因为最新的爆料显示,咱们心爱的英雄曜要被削弱了!这可真是让人又爱又恨啊。下面就让我带你从多个角...